Здоровые зубы — не только красиво, но и здорово
Все мы с вами знаем о том, что
одним из основных источников фтора для нашего с вами организма является обыкновенная вода, которую мы с вами употребляем ежедневно. Кстати о том, сколько воды необходимо пить в сутки — вы можете прочитать здесь. Однако, как узнать, какое количество фтора в ней содержиться? Ведь, как известно, как недостаток, так и переизбыток чего-то в организме всегда приводит к дисбалансу и сбоям в работе внутренних органов и систем. А, в случае с переизбытком фтора, у нас на зубной эмали могут появиться ещё и коричневые или белые пятна – их стоматологи называют флюорозом.
Именно
о флюорозе, как одном из самых распространённых стоматологических заболеваний, о причинах его возникновения, о лечении и о профилактике и обо всём, что связано со здоровьем наших зубов– сегодня расскажет вам наша публикация. Так что, оставайтесь с нами, обещаем, что будет интересно…
Флюороз – описание заболевания и причины его возникновения
Флюороз – это заболевание также известное под названием крапчатой эмали, это стойкое нарушение, которое возникает в результате длительного поступления в организм больших доз фтора. Другими словами – это переизбыток этого вещества. Примечательно, что чаще всего это связано потребляемой нами водой. И, хотя фтор также содержится и в составе некоторых продуктов питания и даже входит в состав зубных паст, оттуда он всасывается гораздо хуже, чем из воды, в которой находятся такие вот фториды. Исходя из этой особенности, стоматологи предпочитают говорить о том, что
это заболевание носит эндемический территориальный характер, то есть, характерно для конкретных географических местностей, где вода, по своему составу, перенасыщена таким вот фтором.
Однако, есть и такое понятие, как профессиональный переизбыток фтора – в этом случае флюороз возникает у тех людей, которые трудятся на предприятиях, где в воздухе превышено содержание фтористых соединений. Но, данный тип заболевания всё-таки мало распространён.
Мнение врачей:
Флюороз зубов — это состояние, вызванное избыточным потреблением фтора в детском возрасте, что может привести к изменениям в структуре зубов. Врачи отмечают, что небольшое количество фтора, такое как то, которое содержится в зубной пасте, помогает укрепить эмаль и предотвратить кариес. Однако, излишняя экспозиция фтору, особенно в период формирования зубов, может вызвать появление пятен и полос на эмали, что называется флюорозом. Важно соблюдать рекомендации врачей по использованию фторсодержащих средств и контролировать их количество, чтобы избежать нежелательных последствий для зубов.

Кто может заболеть флюорозом
Примечательно, что более всего эндемическому типу заболевания всё-таки подвержены дети и подростки, у которых ещё не произошла смена молочных зубов на постоянные, и у которых зубная эмаль ещё не донца окрепла. Так,
для ребёнка суточная потребность такого вещества, как фтор, составляет не более 3 миллиграммов, и эти 3 миллиграмма ребёнок может получить из продуктов питания своего рациона и той воды, которую он употребляет в течение дня. Но, если концентрация фтора в воде, которую употребляет подросток, составляет более 1,5 миллиграммов на литр, то, это уже благоприятные показатели для развития заболевания и появления пятен на зубной эмали.
Для взрослых такая концентрация фтора в воде уже не опасна, так как суточная норма фтора для них выше, и составляет 4 миллиграмма, поэтому, употребление воды с таким количеством фторидов для них не грозит флюорозом. Но, если содержание повыситься до 6 миллиграммов на литр, то, в этом случае от заболевания начинает страдать и взрослая часть населения.
Примечательно, что и недостаток фтора в воде – менее 1,5 миллиграммов на литр – это тоже благоприятные показатели для развития заболевания.
Как узнать, какая концентрация фтора в воде в вашем регионе? Для этого необходимо позвонить в городское отделение санитарно-эпидемиологической станции. Там о таких показателях должны знать с точностью до миллиграмма.
Флюороз у детей
Флюороз зубов у детей
Как мы уже писали выше – в зоне повышенного риска находятся всё-таки дети. Фтор, попадая в избытке в детский организм, связывает соли кальция и способствует их выведению из организма, токсически влияет на энамелобасты и это приводит к неправильному формированию зубной эмали. В результате происходит размягчение костных тканей – резорбция, они становятся хрупкими, и зубная эмаль легко скалывается. Помимо этого,
переизбыток фтора в воде негативно влияет на работу щитовидной железы, что тоже приводит к нарушениям в организме ребенка.
Означает ли это, что этим заболеванием могут болеть все без исключения дети, которые живут в местности, где содержание фтора в воде превышает допустимые нормы?Вовсе, нет. Страдают флюорозом детки, которые имеют слабый иммунитет, перенесли те или иные инфекционные заболевания, и те, в рационе питания которых много фторсодержащих продуктов. Также, велик риск развития этого недуга у детей, находящихся на искусственном вскармливании.
Интересно и то, что это заболевание чаще поражает постоянные зубы, но молочные также могут от него пострадать.

Опыт других людей
Флюороз зубов — это состояние, вызванное избыточным потреблением фтора в детстве, что приводит к изменению структуры зубов. Многие люди выражают беспокойство по поводу возможных последствий флюороза, таких как изменение цвета эмали и появление пятен на зубах. Некоторые считают, что флюороз может повлиять на общее здоровье организма. Однако, большинство стоматологов утверждают, что легкий флюороз не представляет серьезной угрозы и не требует специального лечения. Важно соблюдать рекомендации по использованию фторсодержащих средств и следить за их дозировкой, чтобы избежать возникновения проблем с зубами в будущем.
5 степеней флюороза
Современная стоматология различает целых 5 степеней данного заболевания. И, сейчас мы подробно опишем каждое из таких состояний.
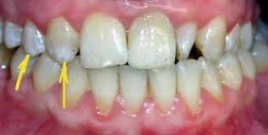
- 1 степень –
штриховая форма– характеризуется появлением небольших мелоидных полосок на зубной эмали, как правило, они локализируется на боковых и центральных резцах верхней челюсти с вестибулярной стороны. - 2 степень –
пятнистая форма– меловидные полоски уже превращаются в мелоидные пятна, которые могут появляться на различных участках коронки зуба, причём поражаться могут как резцы, так и клыки, так и премоляры и моляры. Такие пятна могут иметь светло-жёлтую окраску. - 3 степень –
меловидно-крапчатая форма– при этой степени заболевания поверхность коронок зубов депегментирована светло-матовым оттенком. Такой оттенок может появляться на всех зубах, а не только на передних. Окрас таких пятен колеблется от светлого до тёмно-коричневого. На этой стадии уже видно разрушение зубной эмали в виде небольших сколов и потёртостей. - 4 степень –
эрозивная форма– на этой стадии заболевания уже резко выражена дистрофия и пигментация зубной эмали, и даже наблюдаются некоторые участки на поверхности зуба, где такая эмаль полностью отсутствует. Вокруг таких эрозий на поверхности эмали цвет зуба пигментирован, лишён блеска, имеет меловидный окрас, отличается хрупкостью, легко поддаётся сколам, могут образовываться полости, которые окрашиваются в жёлтый или коричневый цвета. При употреблении горячей или холодной пищи пациент может жаловаться на болезненные ощущения. Примечательно, что эта форма флюороза уже диагностируется с помощью рентгенографии, тогда как предыдущие степени заболевания определяются при визуальном осмотре. - 5 степень –
деструктивная форма– в результате эрозий поверхности эмали, изменения формы коронок, наблюдается отлом отдельных частей зуба, и также происходит поражение дентина. Если сделать рентгенографию этой стадии заболевания, то, на снимке будут видны большие темные пятна. Как правило, 5 степень поражения наблюдается в тех случаях, когда содержание фтора в питьевой воде превышает 10-20 миллиграммов на литр воды.

Флюороз или кариес?
2 степень флюороза или пятнистая форма очень схожа по своим внешним признакам с кариесом, который проявляет себя в стадии пятна. Но, думать, что это одно и тоже — не совсем правильно. Так как, это всё-таки 2 разных заболевания и протекать они могут как по отдельности, так и параллельно. А, главным отличием одного вида заболевания от другого является тот факт, что
флюороз проявляет себя непосредственно с момента прорезывания зубов и носит всегда множественных характер поражений эмали зуба. Тогда как для кариеса характерна локальность, и пятна образуются в области соприкосновения зуба с десной и на самих жевательных бугорках.
Однако, если вы заметили такие светло-коричневые пятна на зубной эмали – лучше обратитесь к стоматологу для того, чтобы он мог установить правильный диагноз и назначил соответствующий курс лечения, который для двух этих заболеваний — разный.
Возможные осложнения флюороза
В случае, если заболевание прогрессирует, достигает 5-й степени и пациент не предпринимает никаких мер по лечению, флюороз поражает кости скелета. А, большое скопление фтора в костных тканях, в свою очередь, может привести к развитию остеосклероза, остеопороза и стать причиной развития такой раковой опухоли, как остеосаркома. Как правило, последнее происходит, в случае, если пациент продолжает употреблять воду, концентрация фтора в которой больше 6 миллиграммов на литр.
Лечение флюороза
- Местный курс лечения данного заболевания направлен на реминерализацию твёрдых зубных тканей. В случае тяжелых форм болезни проводиться реставрация зуба с восстановлением его формы и цвета. Реставрация проводится с помощью стеклоиономерных цементов.
- Также, необходимо уменьшить дозу фтора, которая поступает в ваш организм. Однако, если вы не имеете возможности заменить полностью воду, которую вы употребляете, то, вы можете установить на краны специальные фильтры, которые будут производить очистку воды от примесей фтора.
- Вам также стоит быть внимательными к составу тех зубных паст, которыми вы пользуетесь. Они не должны содержать фтора. А, вот как выбирать зубную пасту — читайте об этом здесь.
- Что же касается рациона питания, то, употребляйте меньше фторсодержащих продуктов – чая, сала, шпината, морской рыбы.
Такой комплексный подход поможет улучшить эффективность лечения и предупредит появление новых пятен на зубной эмали.
Что же касается простого отбеливания зубов, то, оно эффективно, при условии, что у вас первые 2-е степени заболевания, и, что вы придерживаетесь комплексного подхода лечения. На более поздних этапах от потемнения помогут избавиться коронки, виниры или люминиры.
Профилактика флюороза
Выбирайте зубную пасту без фтора
Профилактика данного заболевания, в первую очередь, предполагает смену источника питьевой воды. Для детей не желательно искусственное вскармливание (по возможности) и прикорм фторсодержащими продуктами. Тогда как, рацион питания необходимо обогатить белками, витаминами С, Д, В. Также, в рационе питания должны быть соли фосфора и кальция – они помогают избежать организму переизбытка фтора и способствуют его выведению. Что же касается выбора зубных паст, то, лучше использовать те, которые в своём составе сдержат глицерофосфат кальция, особенно это касается состава зубных паст для детей.
Однако, стоит помнить, что профилактика эффективна лишь до полного формирования эмали коренных зубов у детей, после – её эффективность снижается.
Список зубных паст, которые не содержат фтора
Новый Жемчуг Кальций, Лакалют (немного дорого, но эффективно). Что касается Бленд-а-меда и Аквафреш и Колгейт, то, согласно отзывам на форумах по этой теме – они не оправдали возложенного на них доверия.
Видео на тему флюороза зубов:
Выводы
Сегодня мы с вами говорили о таком стоматологическом заболевании, как флюороз, о причинах его возникновения, стадиях, лечении и профилактике. Нам удалось выяснить, что основная причина появления таких тёмных пятен на зубной эмали, которые, в действительности, не так и безобидны – это переизбыток фтора в той воде, которую мы с вами употребляем. Рассмотрели мы с вами сегодня и варианты зубных паст, которые не содержат этого компонента. Кстати, Наш сайт напоследок хочет поделиться с вами маленьким секретом.
Для того, чтобы ваши зубы были крепкими – не слишком тщательно полощите рот после чистки зубов. Пускай немного зубной пасты останется на поверхности зубов. Если вкус пасты уж слишком неприятный – можно остатки пасты сплюнуть. Эта процедура заменит ежедневную флюоризацию, и сохранит ваши зубы здоровыми, а улыбку – белоснежной.
А, какой зубной пастой пользуетесь вы, для того, чтобы избежать флюороза? Поделитесь с нами своим опытом. Мы также приглашаем вас продолжить обсуждение этой темы в нашей группе Вконтакте.
Вопрос-ответ
Что такое флюороз зубов?
Флюороз – это повреждения эмали зубов из-за высокого уровня фтора в организме. При избытке этого элемента на зубах появляются белесые пятна, которые со временем изменяют цвет. Эмаль в местах появления таких поражений разрушается, что приводит к серьезным последствиям.
Что нельзя при флюорозе?
Советы и рекомендации при флюорозе. Уход за полостью рта отныне тоже должен быть особый: нельзя использовать фторсодержащие зубные пасты и другие средства для гигиены ротовой полости. В рационе следует уменьшить количество продуктов с высоким содержанием фтора (морская и пресноводная рыба, рыбные консервы и другие).
Советы
СОВЕТ №1
Регулярно посещайте стоматолога для профилактических осмотров. Это поможет выявить флюороз на ранних стадиях и предотвратить его дальнейшее развитие.
СОВЕТ №2
Обратите внимание на содержание фтора в зубной пасте и воде. Используйте пасты с оптимальным уровнем фтора и избегайте чрезмерного употребления фторированных добавок, особенно в детском возрасте.
СОВЕТ №3
Соблюдайте сбалансированную диету, богатую витаминами и минералами, чтобы поддерживать здоровье зубов. Употребление продуктов, содержащих кальций и витамин D, может помочь укрепить эмаль и снизить риск флюороза.
СОВЕТ №4
Если у вас уже есть признаки флюороза, проконсультируйтесь с стоматологом о возможных методах лечения, таких как профессиональная чистка зубов или косметические процедуры для улучшения внешнего вида зубов.


