Если улыбка перестала радовать безупречностью, человек не должен мириться с возникшей проблемой. Самое время отправиться к стоматологу, который после диагностики порекомендует пациенту консервативное лечение или зубопротезирование. Съемные конструкции стали компромиссным решением, но какие из них и в каком количестве выбрать?
Виды протезирования зубов
Глобальный вопрос, какие зубы лучше вставлять, в прогрессивной стоматологии становится ребром, поскольку ассортимент временных и постоянных конструкций огромный. Окончательно определиться с выбором поможет стоматолог-протезист, сообщив о плюсах и минусах каждого варианта. Протезирование зубов при отсутствии зубов позволяет избавиться от внутреннего дискомфорта, большой неуверенности в себе.
Врачи-стоматологи подчеркивают важность протезирования зубов при отсутствии значительного количества зубов, так как это не только восстанавливает эстетику улыбки, но и улучшает функциональность жевательной системы. Отсутствие зубов может привести к смещению оставшихся, что в свою очередь вызывает дополнительные проблемы, такие как заболевания десен и нарушение прикуса. Специалисты рекомендуют рассматривать различные варианты протезирования, включая съемные и несъемные конструкции, в зависимости от индивидуальных потребностей пациента. Современные технологии, такие как имплантация, позволяют добиться более надежных и долговечных результатов. Врачи акцентируют внимание на том, что своевременное обращение к стоматологу и правильный выбор метода протезирования могут значительно улучшить качество жизни пациента, восстановив не только зубы, но и уверенность в себе.

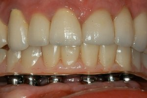
Зубное протезирование на имплантатах
Современная технология является инновационной, оставляя далеко позади себя традиционное протезирование зубов. Среди преимуществ стоматологи выделяют большую возможность изготовления требуемого количества единиц, нормализацию функции жевания и равномерную нагрузку на зубной ряд. К тому же, ткани десны не травмируются, отсутствует эстетический дефект. Имплантация имеет несколько видов, каждому требуется уделить больше внимания:
- Протезы с опорой на имплантанты крепятся при помощи двух кламмеров, прочно фиксируются, но также просто снимаются для дальнейшей чистки.
- С опорой на балочную конструкцию, которая соединяет определенное количество имплантатов. Конструкция надежная, имеет продолжительный срок службы.
- Мостовые модели (несъемные) с опорой на имплантаты крепятся на постоянные коронки, полностью повторяют натуральный зубной ряд, обеспечивают отсутствие боли.
Съемное протезирование зубов
Когда на челюсти отсутствует определенное количество позиций, многие пациенты выбирают съемное протезирование. Процедура актуальна, если несъемная конструкция по медицинским предписаниям не может быть установлена. Характерные модели имеют ряд разновидностей по материалу изготовления и способу крепления на небо. В первом случае больше востребованы бюгельные, металлокерамические и нейлоновые конструкции. Второй случай имеет такую классификацию:
- Полные съемные протезы при отсутствии зубного ряда. Изготавливаются из пластмассы и нейлона, крепятся в указанном количестве к любому небу присосками.
- Частичные съемные протезы особенно актуальны при визуальных дефектах зубного ряда, а по длительности носки считаются временными конструкциями.
- Условные съемные модели для протезирования зубов при отсутствии большого количества зубов не годятся в такой ситуации.
Протезирование зубов при отсутствии большого количества зубов вызывает множество обсуждений среди пациентов и стоматологов. Многие люди отмечают, что это решение значительно улучшает качество жизни, позволяя не только восстановить эстетику улыбки, но и вернуть возможность полноценно пережевывать пищу. Некоторые пациенты делятся положительным опытом, подчеркивая, что современные протезы выглядят естественно и комфортно в использовании. Однако есть и те, кто выражает опасения по поводу процесса адаптации и возможного дискомфорта в первые недели. Важно отметить, что индивидуальный подход к каждому случаю и консультация с квалифицированным специалистом могут помочь развеять страхи и выбрать оптимальный вариант протезирования. В целом, большинство людей, прошедших через эту процедуру, отмечают значительное улучшение в качестве жизни и уверенности в себе.

Какие лучше вставить зубы
Установка новых зубных конструкций – это очень кропотливый и весьма затратный процесс, поэтому изначально требуется правильно определиться с выбором. Есть несколько достойных вариантов, какие съемные протезы лучше, вот на них и требуется обратить пациенту больше внимания. После установки человек сможет порадоваться отсутствию внешнего дискомфорта и комплекса неполноценности. Рассмотрим основные:
- Пластиночные съемные протезы являются бюджетным вариантом, поскольку выполняются из пластмассы. Отличаются продолжительным периодом привыкания, доставляют дискомфорт и неуверенность в себе, провоцируют атрофию тканей.
- При классической имплантации основной опорой становится кость, в которую вкручиваются искусственные корни. Поверх насаживается требуемое количество протезов, имеющих постоянный или временный период носки. Потребуется полгода, чтобы искусственный корень сросся с костью. По истечению указанного периода конструкция отличается максимальной прочностью, отсутствием противопоказаний.
- Съемные нейлоновые протезы – идеальный вариант при адентии, поскольку выпускается модель из пластичного и мягкого материала с гипоаллергенными свойствами. Среди недостатков врачи выделяют уменьшение кости, атрофию мягких тканей.
- Базальное протезирование зубов при отсутствии большого количества зубов проходит без предварительного наращивания атрофированной костной структуры. Процедура проводится в несколько этапов, которые при отсутствии ограничений занимают у пациента не больше недели.
- Покрывной протез применяется при полном или частичном отсутствии зубов. Прочно крепится на опору, как бы наращивает еще живые корни, формирует обновленный зубной ряд. Чтобы улыбка получилась привлекательной, требуется помощь опытного доктора.
Имеет ли противопоказания протезирование при отсутствии зубов
Прежде чем согласиться на процедуру, требуется получить консультацию стоматолога. Протезирование зубов при отсутствии большого количества зубов имеет ряд преимуществ, но существующие противопоказания заметно ограничивают круг желающих. Ограничения охватывают следующие клинические картины, становятся препятствием на пути к белоснежной и презентабельной улыбке. Это:
- аллергическая реакция тканей на составляющее вещество протеза;
- склонность к кровотечениям;
- непереносимость местной анестезии;
- болезни в стадии рецидива;
- сахарный диабет осложненной формы;
- анорексия;
- иммунодефицитные состояния;
- неврологические расстройства стадии обострения;
- злокачественные опухоли;
- запущенные болезни зубов, эмали;
- нервное, физическое истощение.
Видео: методы протезирования зубов

Отзывы
Мария, 34 года: Маме при потере большого количества зубов поставили бюгельные протезы. Удобные, но какое-то время к ним приходилось приспосабливаться, особенно во время приема пищи. Сначала она нервничала и раздражалась на такое нововведение в ее жизни, но сегодня носит без проблем и очень довольна, что я в свое время затянула ее в стоматологический кабинет.
Ирина, 46 лет: У меня зубы с детства плохие, и в 33 года пришлось устанавливать мост на переднюю челюсть. Конструкция несъемная, а в свое время делали ее под наркозом, особенно когда штифты вживлялись. Стоило один раз помучаться, и отныне проблемы зубов меня больше не интересуют. Ухаживаю за мостом, как за натуральными зубами, только пасту дороже покупаю.
Анна, 41 год: Отцу ставили нейлоновые протезы, но посоветовать их не могу. Сначала все было отлично, но после протезирования начала появляться пигментация. Со временем новая челюсть вовсе просела, пришлось опять вести отца в стоматологию, делать коррекцию. Модель недолговечная, стоит недорого, но лучше один раз выложиться и забыть о неприятностях.
Марк, 37 лет: При полном отсутствии зубов советую базовую имплантацию, как классический метод. Придется не раз посетить стоматолога, но в итоге уже через месяц я забыл, что верхняя и нижняя челюсть ненастоящие. С ноской и повседневным уходом за такой прогрессивной конструкцией проблем не возникает, срок службы достигает 10-12 лет и больше.
Вопрос-ответ
Какие протезы ставить, если мало зубов?
Протезы на имплантатах подходят при любом количестве утраченных зубов. Если отсутствует 1-2 зуба, имплантаты устанавливаются на место каждого и покрываются отдельными коронками. Если нет 3-4 зубов, устанавливается два имплантата, сверху на них фиксируется мостовидный протез.
Что делать, если отсутствует много зубов?
Имплантация – лучшее решение при отсутствии одного или нескольких зубов. Имплантация – замещение отсутствующего зуба с помощью конструкции, которая надёжно закрепляется в костной ткани и избавляет пациента от проблемы на длительный период.
На сколько отсутствующих зубов можно поставить мост?
Зубной мост — это несъемный протез из нескольких спаянных между собой коронок из металлокерамики, керамики или диоксида циркония. Способен заместить от одного до четырех отсутствующих подряд зубов.
Какой протез ставить при полном отсутствии зубов?
Если нет противопоказаний, лучшим решением проблемы при полном отсутствии зубов становятся несъемные протезы на имплантах. Предпочтение стоит отдать мостовидному протезу. Он позволяет гибко подойти к выбору места вживления имплантов, надежно крепится во рту.
Советы
СОВЕТ №1
Перед началом протезирования обязательно проконсультируйтесь с опытным стоматологом. Он поможет оценить состояние ваших зубов и десен, а также предложит наилучший вариант протезирования, учитывая ваши индивидуальные особенности.
СОВЕТ №2
Изучите различные виды протезов, такие как съемные и несъемные, а также импланты. Понимание плюсов и минусов каждого варианта поможет вам сделать осознанный выбор, который будет соответствовать вашим потребностям и бюджету.
СОВЕТ №3
Обратите внимание на материалы, из которых изготовлены протезы. Современные технологии предлагают различные варианты, включая керамику и акрил, которые могут обеспечить как эстетичный внешний вид, так и долговечность.
СОВЕТ №4
Не забывайте о регулярном уходе за протезами и полостью рта. Правильная гигиена поможет избежать осложнений и продлить срок службы протезов. Используйте специальные средства для чистки и регулярно посещайте стоматолога для профилактических осмотров.
