Коронки для зубов
Посещение стоматологического кабинета мало у кого вызывает приятные эмоции. Однако, игнорировать состояние здоровья своих зубов, как бы мы не «любили» стоматологические манипуляции (да, простят нас стоматологи всех времён и народов), всё-таки не стоит. Так как такое упорное отсутствие внимания к здоровью своих зубов чревато негативными последствиями. Кстати, специалисты утверждают, что
большинство из нас не любит посещать стоматолога по той простой причине, что нам не всегда понятны его манипуляции и действия, тогда как, если бы мы знали максимум информации о том, что происходит в нашей ротовой полости и для чего это делается, наших страхов стало бы меньше.
Сегодня мы решили вам помочь избавиться от такого вашего стоматологического страха и рассказать о коронках – специальном виде реставрации зубов, которые изготавливаются лабораторным путём и покрывают верхнюю часть зуба.
Какие бывают коронки, для чего они нужны, как происходит установка коронки, и, конечно же, не вредят ли такие коронки нашему здоровью.Обо всём этом читайте в нашей сегодняшней публикации.
Для чего нужны коронки для зубов

Мнение врачей:
Использование зубных коронок может быть необходимо для восстановления структуры и функции зубов, однако врачи также отмечают потенциальные вредные последствия этой процедуры. Несоответствующее прилегание коронок может привести к раздражению десен и развитию воспалительных процессов. Кроме того, неправильно подобранные коронки могут способствовать образованию кариеса под ними из-за сложности ухода за ними. Врачи рекомендуют тщательно подходить к выбору материала для коронок, учитывать индивидуальные особенности пациента и регулярно проходить профилактические осмотры для своевременного выявления проблем.

Чем отличается коронка для зуба от обыкновенной пломбы
Самое главное отличие коронки от пломбы для зуба заключается в том, что коронка изготавливается лабораторным путём, вне ротовой полости. И, для того, чтобы изготовить коронку, стоматолог должен вначале сделать слепки ваших зубов, отлить модели ваших зубов из гипса, и такой исходный материал – шаблон или каркас вашего зуба или всей вашей челюсти потом он передаёт в лабораторию для изготовления самой коронки. В идеале такая коронка, которая изготовлена под вас, должна максимально соответствовать особенностям вашего прикуса, восстанавливать форму вашего зуба. В случае с пломбой такого индивидуального подхода всё-таки нет. Пломба делается сразу и на месте, и не всегда в последствии она не доставляет нам дискомфорт.
Если стоматолог промахнулся с размером такой пломбы – неудобства вам будут обеспечены.
Можно ли самому выбрать коронку вместо пломбы?К сожалению, а, может быть, и к счастью самостоятельный выбор, как в магазине – коронки или пломбы, невозможен. Для этого должны быть специальные медицинские показания. Так, в частности,
если коронковая часть вашего зуба разрушена на 70% и более – ни о какой пломбе речь не может идти.Если разрушения в процентном соотношении меньше – врач может порекомендовать вам установить пломбу.
Виды коронок
Виды коронок
На сегодняшний день в стоматологической практике применяются керамические, металлические и металлокерамические коронки. И, каждый из таких материалов для изготовления коронки обладает своими преимуществами и недостатками, о которых мы вам хотим рассказать.

Опыт других людей
Вред зубных коронок — тема, вызывающая много разногласий среди людей. Одни утверждают, что коронки спасают зубы от дальнейших повреждений и улучшают внешний вид улыбки. Другие же утверждают, что процедура установки коронок может быть болезненной и дорогостоящей, а также может привести к чувствительности зубов и десен. Некоторые люди жалуются на то, что коронки могут отвалиться или потребуют постоянного ухода. В целом, мнения разделились: для одних зубные коронки — спасение, для других — источник проблем.
Металлические коронки
К металлическим коронкам, как к способу восстановления зуба, человечество прибегает не первый день. Это достаточно надёжный материал, но когда речь заходит об эстетике, то здесь возникают сомнения. Такая коронка достаточно неорганично смотрится на фоне натурального цвета зубов. Примечательно, что такие металлические коронки изготавливают из стали, стали со специальным напылением нитрида титана, или из золота. Также, в зависимости от способа изготовления, такие коронки могут быть штампованными (их изготавливают согласно стандартных заготовок, которые просто поддаются коррекции по размерам и форме) и литыми (изготавливаются индивидуально по форме зуба). К тому же, толщина литых коронок больше и они считаются долговечнее. Что же касается золотых коронок, то если их сравнивать со стальными – они, конечно же, полезнее для здоровья, вот только мягче и быстрее стираются. Правда, ту же мягкость золота, как материала для изготовлении коронок, можно использовать и в плюс – такие коронки мягче прилегают к зубам, хорошо выдерживают жевательную нагрузку, не трескаются и не ломаются, а скорость изнашивания этого материала аналогичная скорости изнашивания зубной эмали…
Как правило, металлические коронки устанавливают сегодня только на моляры – боковые зубы, и они не видны, даже если вы улыбаетесь. Тогда как для передних зубов и тех, которые видны, когда вы открываете рот – лучше выбирать другой материал для коронок.

Керамические коронки
Такие коронки изготавливают из фарфора или керамики без примесей. От металлических коронок их отличает, прежде всего, их внешний вид – они прозрачные, и это создаёт оптическую имитацию свойств человеческих зубов, и помогает добиться максимально высокого эстетического уровня. Также, такие керамические коронки отличает их эстетическая долговечность, они не стираются, не темнеют от времени и не впитывают пищевые красители, правда, есть и минус – такие коронки очень хрупкие и их можно использовать разве что для замены передних зубов, так как на жевательную нагрузку они совсем не рассчитаны. Поэтому, выбирая керамические коронки, помните об этом – понятно, что хочется чтобы все зубы выглядели, как натуральные, но, к сожалению, такая натуральность на практике себя не оправдывает.
Металлокерамические коронки
Само название уже подразумевает то, что материалом для изготовления таких коронок служит и металл и керамика. Такие коронки представляют собой что-то среднее по своим характеристикам между металлическими и керамическими коронками, а изготавливаются они путём выливки металлического каркаса и напылением на него керамического материала. Такие коронки выглядят как натуральные зубы и поэтому, их можно использовать, когда необходимо восстановить задние и передние зубы. Однако, есть у них и недостаток – они быстро изнашивают, но не себя, а примыкающий к такой коронке зуб, с которым они соседствуют, когда вы кусаете пищу или жуёте.
Сколько может прослужить коронка
Для того, чтобы максимально точно ответить на этот вопрос, необходимо принимать во внимание и материал, из которого изготовлена такая коронка, и то, насколько такой материал устойчив к процессам стирания, необходимо также учитывать и жевательную нагрузку – она у каждого разная. Однако,
в среднем хорошая коронка может прослужить от 5 до 15 лет.
Если ваша коронка «вышла из строя» раньше – скорее всего, она была изготовлена из некачественного материала и не слишком надёжно установлена. Если ваша коронка служит вам дольше – считайте, что вам повезло (хотя, прочитав статью дальше, вы начнёте в этом сомневаться…). Кстати, коронку всегда можно снять, и чаще всего основанием для снятия коронки являются проблемы с зубом, который непосредственно находится под коронкой.
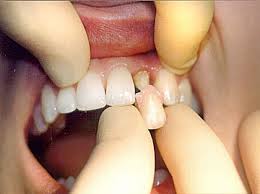
Как устанавливаются коронки
Так устанавливают коронки на зубы
Если мнение стоматолога однозначно – вам необходимо устанавливать коронку, и вы с ним абсолютно согласны (хотя, имеете право и оспаривать его совет), то, приготовьтесь к тому, что вам придётся посетить вашего стоматолога, как минимуму ещё 2 раза и как максимум 4…
Во время первого посещения стоматолог подготовит ваш зуб под коронку — для этого он сделает вам обезболивающий укол, препарирует зуб для того, чтобы не только добиться уменьшения размеров самого зуба, но и для того, чтобы придать такому зубу необходимую для установки коронки форму. После этого с ваших обеих челюстей будут сняты слепки, для того, чтобы коронка наиболее анатомически подходила к вашим зубам. Далее, на ваш зуб необходимо будет установить временную коронку (на тот период, пока будут изготавливаться постоянные коронки). Делается это для того, чтобы защитить ваш зуб от внешних раздражителей и сохранить хоть какую-то иллюзию эстетического вешнего вида вашей челюсти, особенно, это касается тех случае, когда коронки вы будете устанавливать на передние зубы. Как правило, временные коронки изготавливаются из пластмассы и крепятся к зубу с помощью раствора временного цента, который легко можно удалить, а саму временную коронку снять, когда вы посетите своего стоматолога в следующий раз.
Если вы заказываете металлокерамические или керамические коронки, не забудьте обсудить с врачом возможность того, чтобы цвет коронки максимально совпадал с естественным цветом ваших зубов, тогда такая коронка не будет кидаться в глаза, и ни у кого не вызовет сомнений относительно того – ваши это зубы или нет.
Также, если вы заказываете металлокерамическую коронку для зуба, вам необходимо будет посетить стоматолога дополнительно, для того чтобы провести примерку металлического каркаса. Если во время такой примерки не возникло нюансов и каркас соответствует размерам – его направят в лабораторию, и на этот каркас будет нанесена керамическая масса. Отказываться от такой примерки не стоит – она в ваших интересах, и если во время её вы почувствовали дискомфорт — сообщите об этом врачу. Сейчас намного легче всё исправить, чем это сделать потом, когда коронка будет установлена на ваш зуб.
Ну, и завершающее посещение кабинета стоматолога – это установка постоянной коронки с последующей её фиксаций (для этого специальный раствор цемента наносится внутрь коронки, и она надевается на зуб, остатки цемента удаляются). Иногда врач может зафиксировать постоянную коронку на временный раствор цемента для того, чтобы проверить, как «сидит» коронка. Однако, до тех пор, пока временный раствор не будет заменён на постоянный, работу по установке коронки нельзя считать завершённой.
Вред коронок
Несмотря на то, что коронки иногда просто необходимо устанавливать, и они несут такую благую миссию, как укрепление зуба и сохранение эстетической иллюзии целостности вашего зубного ряда, такие коронки всё-таки причиняют вред здоровью. Сами стоматологи соглашаются с тем, что
у людей, установивших зубные коронки, чаще встречаются случаи кровоточивости дёсен, воспалительных процессов дёсен и ротовой полости, появление чёрной полосы у шейки зуба, посинение дёсен. А, установка металлических коронок часто становится причиной развития онкологических патологий желудочно-кишечного тракта, так как окиси и ионы металла таких металлических коронок, попадая в желудочно-кишечный тракт, разъедают его стенки, приводят к образованию язв, ухудшению общего самочувствия, интоксикации организма.
Видео о вреде старых коронок:
Нужно ли устанавливать коронку
Всегда ли необходимо соглашаться с рекомендациями врача о том, что вам надо установить коронку или есть смысл искать альтернативные методы решения такой проблемы? Ведь, мы с вами знаем, что помимо плюсов, у коронок есть и недостатки, и они не всегда полезны для нашего здоровья. Если есть хоть один шанс из десяти избежать установки коронки, и это не повлияет негативно на состояние здоровья ваших зубов – вы в праве использовать этот шанс. Насильно коронку вам никто не установит. Однако, откладывать в сторону решение вопроса лечения зуба – тоже не стоит. Лечить зубы необходимо, но, как – выбор за вами…
Desert Essence, Зубная паста с натуральным маслом чайного дерева и отбеливающим эффектом, свежая мята, 6,25 унции (176 г) Plus White, 5 минут, премиум система для отбеливания зубов, набор из 3 шт Jason Natural, PowerSmile, удаляющая налет и отбеливающая зубная паста, сила перечной мяты, 6 унций (170 г)
Вопрос-ответ
Почему лучше не ставить коронки на зубы?
Установка коронки может потребовать удаления зубной эмали, что может привести к чувствительности зуба и более высокому риску развития кариеса. Возможное разрушение зубной пульпы. Во время установки коронки может возникнуть необходимость удаления или резецирования зубной пульпы, что может привести к инфекции или боли.
В чем минус коронок на зубы?
Минус у керамических коронок только один — это недостаточная прочность в сравнении с металлом, и поэтому коронки такого типа используются для восстановления передних зубов. Остальные минусы распространяются на любые коронки. Это такие вещи, как обтачивание зубов, без которого невозможно установить коронки.
Сколько живут зубы под коронками?
При этом срок службы керамических коронок варьируется в пределах 5-10 лет, а диоксидо-циркониевых – от 20 до 25 лет.
Советы
СОВЕТ №1
Перед установкой зубной коронки обязательно проконсультируйтесь с несколькими стоматологами. Это поможет вам получить разные мнения и выбрать наиболее подходящий вариант лечения для ваших зубов.
СОВЕТ №2
Обратите внимание на материалы, из которых изготовлены коронки. Некоторые материалы могут вызывать аллергические реакции или повышенную чувствительность. Выбирайте коронки из биосовместимых материалов, таких как керамика или цирконий.
СОВЕТ №3
Регулярно посещайте стоматолога для проверки состояния коронок и здоровья зубов. Это поможет выявить возможные проблемы на ранней стадии и предотвратить более серьезные осложнения.
СОВЕТ №4
Следите за гигиеной полости рта. Чистите зубы дважды в день и используйте зубную нить, чтобы предотвратить накопление налета и бактерий вокруг коронок, что может привести к воспалению десен и другим проблемам.



