Сосудистая система головного мозга имеет сложное строение. Одной из наиболее важных ее составляющих является Виллизиев круг. Он представляет собой комплекс артерий, которые расположены у основания мозга.
Благодаря ему происходит правильное распределение потока крови в случае нарушения функционирования сонных артерий. Поэтому любые патологии в его развитии могут спровоцировать появление негативных последствий. Для того чтобы их своевременно выявлять, необходимо знать строение и особенности Виллизиева круга.
Из чего состоит Виллизиев круг
В первую очередь необходимо разобраться, что это такое — Виллизиев круг. Это анастомоз артерий мозга, который имеет форму овального венца. Название это образование получило в честь его первооткрывателя — Томаса Виллиса.
Круг образуется такими артериями, как:
- Задняя соединительная.
- Задняя мозговая.
- Передняя мозговая.
- Внутренние сонные.
Такое строение круга позволяет соединять между собой две системы: позвоночно-основную и сонную.
Развитие Виллизиева круга чаще происходит по классическому варианту. В этом случае образование будет симметричным относительно вертикальной оси. Часто встречаются патологии строения.
За какие функции отвечает
Основной задачей этой системы является обеспечение достаточного кровоснабжения определенных участков головного мозга. Это особенно важно в случае нарушения кровотока в артериях шеи. Затруднение течения крови по шейным артериям грозит кислородным голоданием мозга, что провоцирует различные отклонения. Для того чтобы этого не происходило, и предусмотрен Виллизиев круг.
Обеспечение функциональности круга достигается за счет того, что сонные артерии соединены не только друг с другом, но и с позвоночной артериальной системой. Такая схема позволяет постоянно снабжать головной мозг питательными веществами.
По статистическим сведениям, классический вариант развития Виллизиева круга наблюдается лишь в 50% случаев. У многих людей его симметрия нарушена.
Возможные патологии
Анатомия человека предусматривает сложное строение внутренних систем, которое обеспечивает полноценное функционирование организма. К сожалению, часто в силу определенные причин наблюдаются отклонения в развитии. Это бывает и в случае с Виллизиевым кругом. Его нормальное строение наблюдается только у половины людей.
Чаще всего отклонения от классического варианта развития проявляются в асимметрии отходящих ветвей или отсутствии определенных участков круга. Часто наблюдается различие в диаметрах позвоночных артерий в задней и передней частях. Результаты исследований показывают, что нарушение симметрии круга иногда становится причиной частых мигренозных приступов.
Среди наиболее значимых патологий:
- Гипоплазия. Представляет собой порок развития, при котором артерии имеют сильно уменьшенные параметры. Если в других бассейнах головного мозга отсутствуют нарушения кровотока, то гипоплазия будет протекать бессимптомно. Такая патология может быть выявлена в ходе комплексной диагностики состояния головного мозга. Ее хорошо видно на снимках, полученных при магнитно-резонансной томографии.
- Аневризма. Это выпячивание стенки артерии наружу. Отклонение протекает бессимптомно до тех пор, пока не происходит разрыва аневризмы. Это приводит к кровоизлиянию в мозг. При этом появляются невыносимые головные боли, приступы тошноты и рвоты, острые реакции на яркий свет. Если вовремя не принять меры, человек может впасть в кому и умереть.
- Аплазия. Это состояние, при котором Виллизиев круг не замкнут вследствие отсутствия соединительной артерии. Может наблюдаться как в переднем отделе, так и в заднем. Если артерия все же присутствует, но развита крайне слабо, то диагностируется неполная разомкнутость круга. Патология в передней части круга встречается крайне редко, лишь в 4% случаев. Чаще всего отклонение обнаруживается сзади. Разомкнутый круг обследуется при помощи МРТ. Причиной такого явления становится остановка в развитии на стадии формировании плода.
- Трифуркация сонной артерии. Это расщепление артерии на три составляющих. Такое отклонение наблюдается в 28% случаев. Оно не представляет опасности, пока не наблюдаются окклюзивные изменения в артериях. Различают переднюю и заднюю трифуркацию. Такое отклонение связано с задержкой редукции соединительных артерий в период эмбрионального развития.
К патологиям, которые встречаются крайне редко, относят артерию Гейбнера, расщепление передней соединительной артерии, сплетениевидный вид базилярной артерий и некоторые другие.
Какие последствия может иметь неправильное развитие Виллизиевого круга?
В нормальном состоянии Виллизиев круг замкнут. Он выступает в роли резервной системы. Если никаких отклонений в работе шейных артерий не наблюдается, то он не задействуется. Поэтому даже если в нем присутствуют отклонения от нормального развития, они никак не проявляются.
При появлении проблемы с поставкой питательных веществ к мозгу включается Виллизиев круг. Он помогает перекачивать кровь из других отделов. В этом случае его патология может иметь негативные последствия для здоровья.
Врожденные патологии Виллизиева круга в определенных ситуациях приводят к затруднению мозгового кровообращения. Оно может проявляться уже в раннем возрасте и со временем нарастать.
В отличие от остальных артерий головного мозга, в участках круга не наблюдается разницы давления. Это связано с отсутствием уравновешивания давлением мозговой ткани. Это может приводить к следующим негативным последствиям:
- Частое головокружение.
- Неприятные ощущения при резкой смене положения головы.
- Сильные головные боли, которые не всегда удается купировать даже обезболивающими препаратами.
- Приступы мигрени, которые сопровождаются светобоязнью, тошнотой, реакцией на звуки.
Одной из самых опасных патологий считается аневризма. Она появляется вследствие истончения и повышения эластичности стенки артерии. Причем этот процесс протекает совершенно бессимптомно. Любое воздействие на область головы приводит к моментальному разрыву аневризмы. Если своевременно не принять меры, человек просто погибнет.
Как выявляются отклонения?
Чаще всего патологии развития Виллизиева круга выявляются при комплексном обследовании пациента, который обратился с жалобами на головную боль. В первую очередь в такой ситуации специалисты проверяют наличие нарушений кровообращения головного мозга.
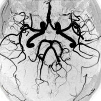
Наиболее точным современным диагностическим методом остается МРТ. Обследование проводится на специальном магнитно-резонансном томографе. Его принцип действия основан на фиксации реакций клеток тела в ответ на воздействие сильным магнитным полем.
Такое обследование помогает получить полное представление о строении любых внутренних органов, в том числе и сосудистой системы. МРТ считается полностью безопасным, так как является неинвазивным обследованием и не предполагает применения радиоактивного облучения.
Ангиография
Одним из самых популярных методов обследования сосудистой системы считается ангиография. Эта методика предполагает введение в кровь пациента специального контрастирующего вещества. После того как оно равномерно распределится по всем артериям, делается рентгеновский снимок. На нем хороши видны все патологии.
Такое обследование может проводиться при помощи обычного рентгенографа или под контролем компьютерной томографии. Контрастирующее вещество полностью безвредно для человека. Спустя определенное время оно полностью выводится из организма естественным путем.
Для определения точного расположения и состояния артерий применяют также компьютерную томографию. Такое обследование проводится с применением рентгеновского облучения. И хотя доза облечения крайне мала, этот диагностический метод нельзя назвать полностью безопасным для здоровья.
Как лечат
Если в ходе обследования выявлены неопасные для жизни патологии, например, трифуркация, то никакого особого лечения в этом случае не требуется. Но стоит помнить, что состояние здоровья может резко ухудшиться при появлении осложнений, например, тромбоза сосудов. Поэтому пациенту рекомендованы мероприятия, направленные на профилактику осложнений.
Необходимо придерживаться правильного питания, исключить употребление чрезмерно жирной пищи, жареных, копченых блюд. Отказаться от вредных привычек. Стараться есть как можно больше свежих овощей и фруктов. Вести активный образ жизни, больше гулять на свежем воздухе. Все это благоприятно сказывается на здоровье сердечно-сосудистой системы в целом.
Операция
Если диагностирована аневризма, потребуется срочное оперативное вмешательство. Никакими другими методами с такой проблемой справиться нельзя. Операция проводится под общим наркозом.
Хирург проделывает трепанационное отверстие в черепе пациента. После этого он раздвигает ткани, чтобы добраться до поврежденной артерии. При помощи специальных инструментов врач удаляет аневризму и перевязывает сосуд.
Затем останется только восстановить мозговую оболочку и наложить швы. Чаще всего после такой операции необходимо медикаментозное лечение, которое направлено на предотвращение возможных осложнений.
Существует вариант операции, при котором аневризма не удаляется, следовательно, не происходит разрыва сосудов. Такая процедура проводится под местным наркозом. Хирург делает небольшой прокол в сосуде и вводит в него специальный инструмент. С его помощью специалист заполняет полость аневризмы определенным материалом в виде микроскопических спиралей.
Эти спирали способствуют тому, что в полости аневризмы образуется плотный тромб. Таким образом, патология полностью исключается из процесса кровообращения.
Во время операции хирургу необходимо действовать предельно внимательно, так как малейшая неточность приведет к разрыву аневризмы и кровоизлиянию. Спустя три месяца после такого лечения обязательно проводится контрольное обследование.
Виллизиев круг — это резервная система кровоснабжения мозга. В случае выявления патологии необходимо регулярное прохождение обследований с целью выявления вероятности развития аневризмы.
Головной мозг (ГМ) человека — тонкая структура, выполняющая колоссальный объем работы. Обязательным условием функционирования любого органа является нормальное кровообращение. Первым человеком, который описал артериальное кровообращение мозга, был анатом и врач-невролог из Великобритании Виллизий Томас. С тех пор сосудистое кольцо головного мозга называется его именем.
Строение и функции артериального круга мозга
Снижение кровообращения в головном мозге — опасное для жизни явление. Анатомия человека такова, что функцию компенсации недостаточного кровотока выполняет расположенное в субарахноидальном пространстве на основании мозга артериальное кольцо (виллизиев круг).
Сосуды мозга соединяются между собой (анастомозируют) на основании ГМ. Образуют бассейн виллизиева круга такие сосуды:
- Передняя мозговая артерия: начальный сегмент (a. cerebri anterior).
- Передняя соединительная артерия (a. communicans anterior).
- Внутренняя сонная артерия: супраклиновидный сегмент (a. carotis interna).
- Задняя соединительная артерия (a. communicans posterior).
- Задняя мозговая артерия: начальный сегмент (a. cerebri posterior).
В своей работе Виллизий Томас описывает анастомоз в виде семиугольника — гептагона Виллизия. Но проведя исследования, М. А. Тихомиров выявил, что форма кольца девятиугольная. Связь между сосудами ГМ централизуется в виллизиевом круге.
Нарушение кровотока в шейных сосудах может привести к недостаточному кровообращению головного мозга. Для предотвращения ситуации снижения поступления крови предусмотрен «запасной вариант» — компенсаторный артериальный круг. В этом и заключается его функция. Сонные артерии, соединяясь между собой, анастомозируют с позвоночными. Именно благодаря этому соединению, в случае непроходимости сосудов мозга, кровообращение не нарушается и все ткани получают достаточное количество веществ.
Патологии и их симптомы
О правильном развитии виллизиева круга говорит его симметричность с обеих сторон. Но такое развитие наблюдается только у 50 % населения. Часто наблюдается недостаточность развития сосудов — гипоплазия. Встречается несоответствие размера артерий с разных сторон, отсутствие симметрии в их отхождении. Если все сосуды соединены между собой и симметрично отходят с обеих сторон, в таком случае говорят, что артериальный круг замкнут. Это дает возможность полностью восполнить кровоток в случае возникновения патологии других сосудов.
Наиболее грубой аномалией строения кольца является разомкнутость. Возникает она при отсутствии соединения основной артерии — с позвоночными. Выделяют два варианта патологии: полностью разомкнут круг, если соединительные артерии отсутствуют и не полностью разомкнут, если имеется сужение или гипоплазия соединительных артерий.
Частой локализацией аневризм сосудов головного мозга является виллизиев круг. Опасность кроется в том, что долгое время аневризма не вызывает никаких симптомов. Состояние пациента ухудшается при ее разрыве. Если помощь не оказана своевременно, то человек впадает в кому.
Результаты исследования показывают, что существует связь между асимметричным строением виллизиева круга и возникновением мигрени. Выявляется патология случайно при проведении магнитно-резонансной томографии. При условии нормального кровообращения головного мозга, когда артериальный круг не выполняет свою компенсаторную функцию, симптомы не проявляются.
Диагностика и лечение
Для исследования состояния сосудов в медицине используется метод ангиографии. Наиболее доступным способом диагностики считается транскраниальная доплерография, позволяющая оценить кровоток в мозговых артериях. Такой метод имеет большое количество преимуществ, потому что позволяет оценить состояние просвета сосудов, скорость и направление кровотока. Для постановки диагноза используется комплексное обследование, оценивающее все критерии строения артерий и характеристику кровоснабжения в них.
Наличие аномалии развития артериального круга не несет опасности для качества жизни человека при условии, что отсутствуют нарушения кровообращения в сосудах головного мозга; поэтому лечение не назначается. Если патология проявляется в виде мигрени, то лечащий врач может вам назначить прием обезболивающих препаратов.
При выявлении аневризмы в сосудах виллизиевого круга показана операция. При разрыве сосуда кровь вытекает в субарахноидальное пространство. Остановить кровотечение сложно. Требуются проведение операции, а также длительная реабилитация.
При проведении исследований сосудов головного мозга иногда можно увидеть констатацию факта, что Виллизиев круг разомкнут. Что это значит, хорошо или плохо, очень трудно поддается определению без соответствующих исследований и дополнительных признаков. Строение артерий у каждого человека может носить индивидуальный характер, и при этом находиться в пределах нормы. Сердечные артерии предполагают в числе нормальных сразу 3 варианта кровообращения, которые обнаруживаются только при соответствующих исследованиях. Примерно так же обстоит дело и с Виллизиевым кругом. Расположение и развитие этого венца анастомозов только у половины, а то и у четверти взрослых людей, соответствует медицинской норме развития.
Виллизиев круг – что это такое
Почти 300 лет анатомических исследований, плюс возможности, полученные с развитием современных аппаратных исследований – допплерографии, УЗИ и нескольких видов ангиографии, позволили установить, что Виллизиев круг в половине или большинстве случаев не соответствует медицинской норме. Однако в последнее время не принято говорить об абсолютной норме, потому что в организме каждого человека могут присутствовать индивидуальные особенности строения.
Это касается любой действующей системы, в том числе, и артериального кровотока. Так называемое классическое артериальное кольцо есть не у всех. А это означает. что у многих людей своеобразное развитие кольца анастомозов может приводить к различным нарушениям или негативным ощущениям.
Природа предусмотрела у взрослого возможность прерывания мозгового кровообращения. Поскольку головной мозг относится к жизненно важным органам, его кровоснабжение не должно прерваться. Для этой цели в основании головного мозга (если совсем точно – то в его субарахноидальном пространстве, между мягкой оболочкой ГМ и спинного мозга), располагаются артерии.
Это своеобразный семиугольник, образованный:
- мозговой артерией (передней и задней);
- двумя соединительными артериями (правой задней и передней);
- одной сонной артерией (правой внутренней).
Этот венец анастомозов (сосудистых соединений), расположен недалеко от базилярного и левого позвоночного крупных сосудов, в непосредственной близости к головному мозгу, и в не менее опасной – к спинному.
Природа предусмотрела множество механизмов защиты головного мозга, причем не только от внешних (снабдив его прочной черепной коробкой), но и от внутренних факторов. Виллизиев круг в подпаутинном пространстве – одно из таких естественных средств.
За какие функции отвечает
Основное целевое предназначение сосудистого образования – постоянно обеспечение головного мозга кровью. Оно должно происходить при самых разнообразных функциональных повреждениях и сбоях, вызванных серьезными заболеваниями, окклюзиями артерий или их повреждением. Это – своеобразная цепь предохранителей, в которой предусмотрена возможность кровотока через артерии, которые в норме отвечают за другие функции.
В обязанности отделов, входящих в Виллизиев круг, входит:
- обеспечить головной мозг необходимым питанием при повреждениях или врожденных аномалиях артерий;
- поддержать функциональность ГМ при спазмах или аномальных вариантах расположения сосудов;
- предотвратить повреждение нервной ткани, если нарушена деятельность шейных артерий;
- избежать развития очагов кислородного голодания, путем перенаправления крови в такой участок.
Со своим предназначением нормально справляется только та система, которая сформирована без нарушений. А отклонения от физиологического строения есть у половины, иногда у ¾ всех людей. Наличие таких аномалий связано с внутриутробным развитием, которым человечество пока управлять не научилось.
Возможные патологии
В медицине отклонения в строении дипломатично именуют вариантной анатомией Виллизиева круга. Их существует множество, причем не у каждого человека есть только одно, иногда их сразу несколько. Самый частый из них – трифуркация. Она встречается в той части внутренней сонной артерии, которая называется надклиновидной, бывает задней (когда от этого фрагмента начинаются 3 мозговые артерии) и передней – от сонной начинаются обе передние мозговые. Нередко отмечается аплазия (отсутствие из-за врожденных пороков развития), задней соединительной артерии. Такой вариант может быть и с обеими ЗСА, и со всеми соединительными артериями и даже с основной артерией.
Любая сосудистая аномалия становится результатом неправильного развития плода. Например, задняя трифуркация происходит из-за отсутствия естественного преобразования сосудов во 2 триместре беременности.
Гипоплазия – недоразвитие – тоже частое явление, вариантов у которого множество. Может быть одновременно в правой передней мозговой и правой задней соединительной артериях, иногда не развита левая соединительная, а правая ЗМ попросту отсутствует или тоже не до конца сформирована. Описано более 10 вариантов недоразвития, а трифуркаций, раздвоений, общий артериальный ствол у двух разных, или их соприкасание, расщепления на две разных, относимых к нетипичным формам можно перечислить просто огромное количество.
Под определение Виллизиев круг разомкнутого типа подходит любой из многочисленных случаев отсутствия, недоразвития или аномального количества артериальных стволов. Но для определения, что это значит в дальнейшем, нужно знать, по какому типу он разомкнут.
Если Виллизиев круг разомкнут – плохо или хорошо
Если Виллизиев круг разомкнут – это аномалия развития, ставшая причиной негативного воздействия на плод. По какой-то причине происходит отклонение от предусмотренного природой сценария, и формирование сосудистого сплетения приводит к асимметрии ВК.
Вопрос что делать с такими отклонениями возникает при развитии заболеваний, а до этого (иногда вплоть до глубоко пожилого возраста), никто и не подозревает, что это у него вообще присутствует. Аплазия, гипоплазия или трифуркация обнаруживаются при проведении исследований специальными методами диагностики. Необходимость ее проведения обнаруживается на фоне развития заболеваний, но иногда негативный сценарий развивается внезапно.
Развитие негативных состояний характерно в пожилом возрасте, когда ослабевает компенсаторная способность, присущая и разомкнутому кругу. Когда он оказывается не в состоянии нормализовать артериальный кровоток, и происходит появление осложнений или заболеваний.
Последствия
Аномалии развития ВК никогда не приводят к положительным процессам. Это сбой в функциональной предназначенности органа или системы, что до определенного времени природа способна компенсировать. Спрашивать, это хорошо или плохо обычно начинают, когда развивается заболевание, а лечить аномалии строения сосудов современная медицина еще не научилась.
Она только лечит заболевания, которые становятся их последствиями. Наиболее частые из них – аневризма и ишемический инсульт. Лечениеразомкнутого круга не проводится, и только в случае, если появляются последствия – разрыв аневризмы сосудов и субарахноидальное кровоизлияние, или ишемический инсульт, возникает необходимость в хирургическом (перевязке аневризмы) или консервативном лечении, как при любом подпаутинном кровоизлиянии.













